Ngày 17/4, Khoa Nội Tim mạch 2, Trung tâm Tim mạch – Bệnh viện Hữu nghị Đa khoa Nghệ An cho biết, vừa thực hiện thành công ca can thiệp mạch vành cấp cứu, cứu sống một bệnh nhân nam 37 tuổi, quốc tịch Trung Quốc trong tình trạng nhồi máu cơ tim cấp nguy kịch.

Ê-kíp Khoa Nội Tim mạch 2, Bệnh viện Hữu nghị Đa khoa Nghệ An tiến hành nong bóng và đặt một stent phủ thuốc tại vị trí tổn thương. Ảnh: BV.
Bệnh nhân nhập viện ngày 9/4 với triệu chứng điển hình như đau tức ngực trái lan lên vai và tay trái, kèm khó thở. Qua khai thác tiền sử, người bệnh có thói quen hút thuốc lá nhiều năm – yếu tố nguy cơ hàng đầu dẫn đến xơ vữa động mạch vành.

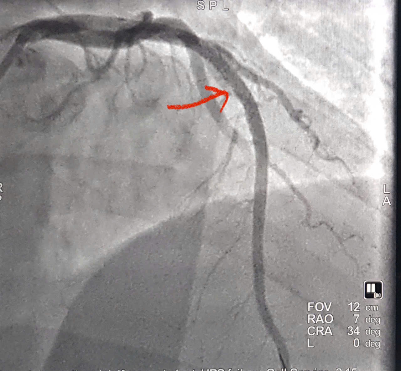
Hình ảnh động mạch vành đã được tái thông.
Ngay khi tiếp nhận, ê-kíp cấp cứu nhanh chóng triển khai quy trình chẩn đoán nhồi máu cơ tim, kết hợp thăm khám lâm sàng, điện tim và xét nghiệm. Kết quả xác định bệnh nhân bị nhồi máu cơ tim cấp thành trước – thể bệnh nặng, có nguy cơ tử vong cao nếu không xử trí kịp thời.
Bệnh nhân lập tức được chỉ định chụp và can thiệp mạch vành qua da bằng hệ thống DSA. Kết quả cho thấy động mạch liên thất trước bị tắc hoàn toàn. Các bác sĩ đã tiến hành nong bóng và đặt stent phủ thuốc, tái thông dòng máu nuôi tim ngay trong quá trình can thiệp.
Theo các bác sĩ, trong nhồi máu cơ tim, “thời gian là cơ tim”, mỗi phút chậm trễ đều làm tăng diện tích cơ tim hoại tử. Việc tái thông mạch càng sớm, khả năng phục hồi càng cao.
Sau can thiệp, bệnh nhân được điều trị nội khoa tích cực, diễn biến ổn định, không xuất hiện biến chứng nặng. Đến ngày 13/4, sau 4 ngày điều trị, bệnh nhân đủ điều kiện xuất viện.
Các chuyên gia tim mạch cho biết, trường hợp bệnh nhân mới 37 tuổi là minh chứng rõ nét cho xu hướng trẻ hóa của bệnh lý tim mạch. Những yếu tố như hút thuốc, căng thẳng, ít vận động, chế độ ăn không lành mạnh đang khiến bệnh xuất hiện ngày càng sớm.
Người dân được khuyến cáo không chủ quan với các dấu hiệu như đau ngực, khó thở, vã mồ hôi. Khi có triệu chứng nghi ngờ, cần đến ngay cơ sở y tế có khả năng can thiệp tim mạch để được xử trí kịp thời.
Cứu sống cụ ông 86 tuổi bị nhồi máu não cấp